autor: Lijalo » 07 sie 2018, 20:37
Dzis lekarki stomatologii Dorota Połozowska i Anna Zalas zamieściły, na stronie swojego gabinetu stomatologii, taki oto wpis:
Wody smakowe
Na wstępie zaznaczam, że nie jest to antyreklama (reklama tym bardziej nie

). Jednak dzisiaj powracam do tematu wody smakowej, którą większość z Was poi swoje dzieci hektolitrami. Moi drodzy, ja rozumiem, że można być pewnych rzeczy nieświadomym, że człowiek bez wykształcenia medycznego na pewnych rzeczach po prostu się nie zna (no bo i skąd ma się znać?) i że reklama potrafi urobić nawet największych twardzieli krzycząc do nas z tv, plakatów, radia i nawet wyskakując z szafki w łazience

Jednak temat wody smakowej mnie przeraża i zazwyczaj aż niedowierzam słuchając rodziców, kiedy przeprowadzam wywiad i od słowa do słowa wychodzi, że jednak ta szalejąca próchnica znikąd się nie bierze. Dajecie dziecku wodę smakową, bo to przecież WODA, a woda jak wiadomo jest zdrowa. Nic bardziej mylnego:
1. Woda smakowa nie ma nic wspólnego z wodą, mimo iż sugeruje to nazwa. Jest to tak naprawdę napój bezalkoholowy, ponieważ zawiera w swoim składzie substancje nadające smak, aromaty, konserwanty i cukier. Może zawierać również kofeinę, witaminy, minerały, ekstrakty soków lub zielonej herbaty. Najczęstsze dodatki to:
- sorbinian potasu (E-202)
- benzoesan sodu (E-211)
- aspartam (E-951)
- acesulfan k (E-950)
- dwutlenek węgla
- aromaty
- syropy owocowe
2. Ilość cukru w wodzie smakowej potrafi przyprawić o zawrót głowy! Jest to podstawowy jej składnik, przez co wraz z 1,5-litrową butelką płynu można dostarczyć od 200 do nawet ok. 350 kcal! 100 ml wody zawiera 1 łyżeczkę cukru, 250 ml czyli standardowa szklanka już ponad dwie łyżeczki, a cała duża butelka zawiera nawet 69g czyli 14 łyżeczek cukru!

To więcej niż jeden paczek (ok. 34g) czy porcja batona (ok. 32g). Tak więc woda smakowa na równi ze słodyczami może powodować nadwagę, otyłość i przede wszystkim PRÓCHNICĘ!
3. Cukier (jak i syrop glukozowo-fruktozowy) zawiera wysoki indeks glikemiczny, co sprawia, że po jego spożyciu dochodzi do gwałtownego zwiększenia poziomu stężenia glukozy we krwi, a w konsekwencji do wyrzutu insuliny. Nadmierne spożywanie wód smakowych może prowadzić do insulinooporności, a w konsekwencji nawet do cukrzycy typu 2.
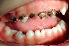
Tak więc moi drodzy, przez swoją niewiedzę, nieprawidłowo rozumianą troskę o dziecko lub po prostu niedbalstwo serwujecie swojemu dziecku PRÓCHNICĘ, OTYŁOŚĆ, KŁOPOTY Z KONCENTRACJĄ, a nawet CUKRZYCĘ TYPU 2! Nic nie da tutaj mycie zębów dwa razy dziennie, skoro pijąc taką wodę w dzień i w nocy dziecko ma zęby non stop obklejone cukrem! Na okrasę czytania serwuję kilka zdjęć. Niektórych dzieci zęby już tak wyglądają, a niektóre niedługo tak będą wyglądać. Dobranoc i miłego czytania..
- Załączniki
-

- FB_IMG_1533666026309.jpg (6.71 KiB) Przejrzano 8672 razy
-

- FB_IMG_1533666077788.jpg (11.35 KiB) Przejrzano 8672 razy
-

- FB_IMG_1533666030434.jpg (5.47 KiB) Przejrzano 8672 razy
Dzis lekarki stomatologii Dorota Połozowska i Anna Zalas zamieściły, na stronie swojego gabinetu stomatologii, taki oto wpis:
Wody smakowe
Na wstępie zaznaczam, że nie jest to antyreklama (reklama tym bardziej nie😉). Jednak dzisiaj powracam do tematu wody smakowej, którą większość z Was poi swoje dzieci hektolitrami. Moi drodzy, ja rozumiem, że można być pewnych rzeczy nieświadomym, że człowiek bez wykształcenia medycznego na pewnych rzeczach po prostu się nie zna (no bo i skąd ma się znać?) i że reklama potrafi urobić nawet największych twardzieli krzycząc do nas z tv, plakatów, radia i nawet wyskakując z szafki w łazience 😉 Jednak temat wody smakowej mnie przeraża i zazwyczaj aż niedowierzam słuchając rodziców, kiedy przeprowadzam wywiad i od słowa do słowa wychodzi, że jednak ta szalejąca próchnica znikąd się nie bierze. Dajecie dziecku wodę smakową, bo to przecież WODA, a woda jak wiadomo jest zdrowa. Nic bardziej mylnego:
1. Woda smakowa nie ma nic wspólnego z wodą, mimo iż sugeruje to nazwa. Jest to tak naprawdę napój bezalkoholowy, ponieważ zawiera w swoim składzie substancje nadające smak, aromaty, konserwanty i cukier. Może zawierać również kofeinę, witaminy, minerały, ekstrakty soków lub zielonej herbaty. Najczęstsze dodatki to:
- sorbinian potasu (E-202)
- benzoesan sodu (E-211)
- aspartam (E-951)
- acesulfan k (E-950)
- dwutlenek węgla
- aromaty
- syropy owocowe
2. Ilość cukru w wodzie smakowej potrafi przyprawić o zawrót głowy! Jest to podstawowy jej składnik, przez co wraz z 1,5-litrową butelką płynu można dostarczyć od 200 do nawet ok. 350 kcal! 100 ml wody zawiera 1 łyżeczkę cukru, 250 ml czyli standardowa szklanka już ponad dwie łyżeczki, a cała duża butelka zawiera nawet 69g czyli 14 łyżeczek cukru! 😱 To więcej niż jeden paczek (ok. 34g) czy porcja batona (ok. 32g). Tak więc woda smakowa na równi ze słodyczami może powodować nadwagę, otyłość i przede wszystkim PRÓCHNICĘ!
3. Cukier (jak i syrop glukozowo-fruktozowy) zawiera wysoki indeks glikemiczny, co sprawia, że po jego spożyciu dochodzi do gwałtownego zwiększenia poziomu stężenia glukozy we krwi, a w konsekwencji do wyrzutu insuliny. Nadmierne spożywanie wód smakowych może prowadzić do insulinooporności, a w konsekwencji nawet do cukrzycy typu 2.
Tak więc moi drodzy, przez swoją niewiedzę, nieprawidłowo rozumianą troskę o dziecko lub po prostu niedbalstwo serwujecie swojemu dziecku PRÓCHNICĘ, OTYŁOŚĆ, KŁOPOTY Z KONCENTRACJĄ, a nawet CUKRZYCĘ TYPU 2! Nic nie da tutaj mycie zębów dwa razy dziennie, skoro pijąc taką wodę w dzień i w nocy dziecko ma zęby non stop obklejone cukrem! Na okrasę czytania serwuję kilka zdjęć. Niektórych dzieci zęby już tak wyglądają, a niektóre niedługo tak będą wyglądać. Dobranoc i miłego czytania..